Die neusten Beiträge

Tislelizumab erweitert Therapieoptionen bei resezierbarem Lungenkrebs

Neues Lungenkrebszentrum OWL: Kliniken kooperieren für Top-Versorgung

Geschlechtsspezifische Therapiesequenzen und Ergebnisse bei NSCLC-Patienten

Ion-Robotersystems zur Früherkennung von Lungenkrebs

ALK-Varianten bestimmen den Erfolg der Lungenkrebstherapie

🔒 Digitaler Zellzwilling in der Lungenkrebsforschung

🔒 Fortgeschrittenes, nicht-kleinzelliges Lungenkarzinom : Management von Lorlatinib-Patient:innen

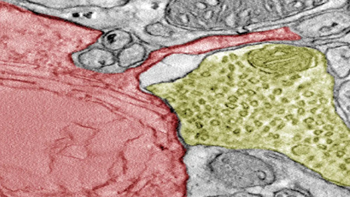
Krebszellen im Gehirn: SCLC nutzt Synapsen für Wachstum

Lungenkarzinom: Neues und Altbekanntes vom ASCO 2025

Welche Rolle spielen Extrazelluläre Vesikel als Liquid Biopsy beim Lungenkarzinom?