Die neusten Beiträge

Projekt „WATCH OUT“: Verstärkter Einsatz für UV-Schutz in der Freizeit

Metastasiertes Melanom: Nachsorgeprogramm soll Versorgungslücke schließen

Neues zum malignen Melanom

Neuer Bluttest für Therapie bei schwarzem Hautkrebs

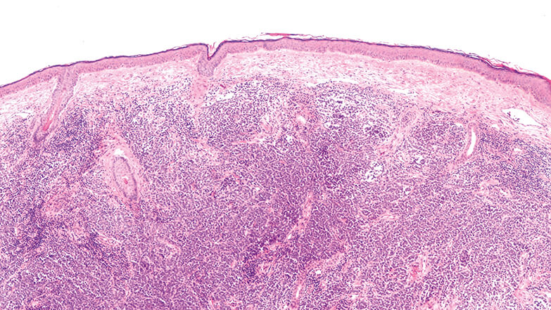
Malignes Melanom: Sentinel-Tumorlast unabhängiger prognostischer Faktor

Das Sonnencreme-Paradoxon: Mehr Hautkrebs durch ein falsches Sicherheitsgefühl

Update Merkelzellkarzinom